ГлавнаяНеврология

Тромбоз вен головного мозга

При свертывании крови в кровеносных сосудах образуются сгустки крови - тромбы, препятствующие нормальному току крови. Такое состояние называется тромбозом. Ткани в недостаточной степени снабжаются кровью, что может являться причиной их гибели.

Одним из возможных осложнений является эмболия - нарушение кровоснабжения органа или ткани вследствие закупорки сосуда оторвавшимся тромбом (эмболом) или какими-либо частицами, перенесенными током крови или лимфы, но не циркулирующими в них в нормальных условиях. Особенно опасна эмболия легких, которая может стать причиной смерти человека. Тромбоз способен возникать в кровеносных сосудах по всему телу, также возможен и тромбоз головного мозга. Чаще всего он начинается в т.н. синусах мозга. После формирования тромба увеличивается кровяное давление, появляется головная боль, нарушается сознание, повышается температура. Позже возникают другие симптомы, аналогичные симптомам инсульта (для инсульта характерен паралич одной половины тела).

Симптомы тромбоза

  • Головная боль.
  • Паралич конечностей.
  • Судороги.
  • Нарушения зрения.
  • Сонливость, вялость, апатия.
  • Высокая температура.

Начало тромбоза не сопровождается ярко выраженными признаками. Но через определенное время нарушается мозговое кровообращение. Сначала возникает постоянная головная боль, затем начинается приступ судорог. Пациент не реагируют на слабые раздражители, сонлив. Возможен паралич нижних или верхних конечностей, рвота, боль в области лица. Иногда один глаз резко выступает вперед, взгляд больного может быть направлен к носу вследствие поражения черепно-мозговых нервов. При отсутствии лечения возможен отек мозга.

Причины заболевания

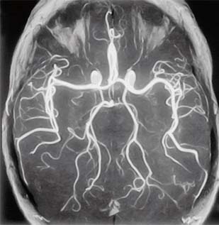
Ангиография

Тромбоз часто наблюдается у людей с высокой свертываемостью крови. Существуют и другие причины. Тромбоз возможен у любого пациента с тяжелыми травмами или после сложной операции. Критический период - беременность и несколько первых суток после родов. Особенно часто тромбы формируются у женщин, принимающих оральные контрацептивные пилюли.

Возможная причина воспаления кровеносных сосудов головного мозга - это гнойное воспаление мозговых тканей и органов. Тромбоз вен головного мозга возможен при воспалении среднего уха или околоносовых пазух, когда гнойный процесс охватывает близко расположенные кости. Тромбоз вен и синусов головного мозга нередко возможен после менингита, который осложняется тромбофлебитом. Реже образование тромбов обусловлено воспалительными заболеваниями мелких кровеносных сосудов. Тромбы могут формироваться у истощенных детей, страдающих серповидной анемией, определенными иммунными заболеваниями, «синим» пороком сердца, а также различными заболеваниями системы свертывания крови.

Лечение тромбоза мозга

Для растворения сгустков крови назначают лекарства, подавляющие свертываемость крови, т.е. гепарин. Спустя 10-14 дней назначают дикумарол, который также уменьшает свертываемость крови; нередко его приходится принимать в течение нескольких месяцев. Если тромбоз вызван гнойной инфекцией, то участок тела, пораженный воспалением, лечат хирургическим путем. Кроме того, в обязательном порядке назначают антибиотики.

Опасные симптомы: головная боль, судороги и паралич. Тромбоз головного мозга, вызванный гнойным воспалением, сопровождается крайне высокой температурой. Следует незамедлительно обратиться к врачу.

Врач при подозрении на тромбоз сосудов головного мозга убедится в наличии способствующих этому факторов: беременности, гнойной инфекции в области головы, длительному приему гормональных контрацептивных пилюль и др. Для диагностирования болезни применяется ангиография или ядерно-магнитный резонанс. Тромбоз вен головного мозга диагностировать сложно, даже если причина ясна, например, осложнение после операции.

При ранней диагностике у больного есть шансы на полное выздоровление без остаточных явлений.

Профилактика

  • Воспаление ушей и околоносовых пазух нельзя лечить дома народными средствами, такие инфекции следует лечить под контролем врача. Для предотвращения распространения инфекции необходимо пройти курс лечения антибиотиками.
  • Лечение инфекционных заболеваний следует проводить до полного выздоровления, а не только до состояния послабления симптомов.
  • Необходимо отказаться от курения.
  • Не следует выдавливать угри на лице, лучше пользоваться специальными мазями, настойками и прочими подобными средствами.

Дополнительно статьи на данную тему:

Отек головного мозга

Гидроцефалия

Все материалы на сайте размещены для справки. Перед началом лечения проконсультируйтесь с врачом.