ГлавнаяОнкология

Опухоли головного мозга

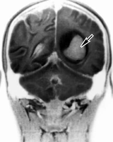
Менингиома

Существуют доброкачественные и злокачественные опухоли как различных частей тела, так и головного мозга. Даже доброкачественные опухоли мозга представляют собой огромную опасность. Прорастая и разрушая ткани, опухоль вызывает сдавливание мозга, черепных нервов и кровеносных сосудов, питающих мозг, серьезно повреждает его структуры, способствует его отеку и повышению внутричерепного давления. При отсутствии лечения отек заканчивается смертью.

Симптомы

Симптомы могут быть очень разными. Наиболее распространенные:

  • Сильные, постепенно нарастающие головные боли.
  • Нарушения кровообращения.
  • Тошнота и рвота.
  • Головокружение, нарушение ориентации в пространстве, кратковременные обмороки.
  • Судороги.
  • Изменения поведения.
  • Паралич.
  • Изменения в характере ощущений (нарушения зрения и слуха до слепоты и глухоты).
  • Изменение характера дыхания.
  • Изменения глазного дна.

Первые симптомы заболевания могут быть очень разными, они зависят от локализации опухоли. У пожилых людей первым симптомом болезни может быть внезапный приступ судорог. Обычно приступы сопровождаются сильными головными болями, особенно по утрам, а иногда и неврологическими симптомами (нарушением походки, координации, параличом отдельных нервов или конечностей).

Характерный симптом опухоли мозга - постоянное прогрессирование симптомов (в течение нескольких месяцев или лет). Например, наблюдается слабая головная боль которая постепенно становится невыносимой.

Причины возникновения

Первичными опухолями головного мозга называются образования, развивающиеся из вещества головного мозга, его корешков, оболочек, мозговой или нервной ткани, клеток гипофиза (глиомы, менингиомы, невриномы и аденомы). Опухоль гипофиза сопровождается нарушениями менструаций, выработки гормонов надпочечников, деятельности щитовидной железы. Вторичные опухоли образуются из костей черепа или происходят из опухолевидных поражений внутренних органов. Чаще всего в мозг метастазирует рак легких, иногда - рак желудка, кишечника, груди и почек.

Менингиома головного мозга — наиболее распространенная доброкачественная опухоль мозга, возникает из его оболочек, характеризуется очень медленным ростом. Обычно она наблюдается у пожилых людей, у женщин в два раза чаще, чем у мужчин. Злокачественные опухоли, например, медуллобластома, растут намного быстрее. Кроме того, они разрушают и близлежащие ткани. У взрослых злокачественные образования развиваются в полушариях и коре головного мозга, у детей - в задней черепной ямке.

Лечение

Если позволяет локализация опухоли, выполняется операция. Если опухоль неоперабельна, используют лучевую терапию, химиотерапию и лекарственную терапию в разных сочетаниях. Применение лечения цитостатиками (лекарствами, специально предназначенными для лечения рака) или лучевой терапии не всегда приносит положительный результат.

Если часто болит голова, (особенно при частых и сильных болях сопровождающихся рвотой), наблюдается нарушение деятельности органов чувств, необходимо обратиться к врачу.

Врач расспросит о симптомах, а также о характере и степени выраженности функциональных нарушений. Он направит к окулисту для исследования глазного дна. При подозрении на опухоль мозга врач направит к специалисту для необходимых исследований.

Степень тяжести заболевания зависит от того, является ли опухоль операбельной. Если даже она носит злокачественный характер, но локализация позволяет провести операцию по ее удалению, то результаты лечения будут хорошими, и больной выздоровеет. Прогноз хороший и в случае менингиомы. Дело в том, что она растет очень медленно, и, как правило, операция по ее удалению успешна. Часто после операции по удалению опухоли проявляются нарушения физических и психических функций. Иногда пациенту приходится заново учиться выполнять простейшую повседневную работу.

Дополнительно статьи на данную тему:

Опухоли гипофиза

Менингиома головного мозга

Все материалы на сайте размещены для справки. Перед началом лечения проконсультируйтесь с врачом.