ГлавнаяОнкология

Карциноиды, карциноидные опухоли

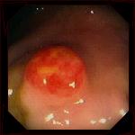
Опухоль в кишечнике

Карциноиды - небольшие (размером с вишню) разрастания, возникающие преимущественно в органах пищеварительного тракта: желудке, двенадцатиперстной, тонкой и толстой кишке, поджелудочной железе; иногда в слизистой оболочке бронхов или трахеи. Крайне редко карциноидные опухоли локализуются в яичках или яичниках. Опухоли образуются при нарушении развития эмбриона. Карциноиды, в отличие от других злокачественных опухолей, характеризуются очень медленным ростом и поздним метастазированием. Как правило, карциноиды метастазируют в печень.

Симптомы

  • Понос.
  • Покраснение лица, «приливы» жара.
  • Боли в животе.
  • Расширение кровеносных сосудов лица.
  • Приступы астмы.
  • Приступы мигрени.
  • Нарушение работы сердца.

Причины

Как и в случае многих онкологических заболеваний, определить истинные причины возникновения карциноида очень трудно. Эти опухоли могут возникнуть у людей разного возраста. Однако чаще всего карциноиды обнаруживают у пожилых мужчин.

Лечение

Если операция по удалению опухоли проходит успешно, то обычно пациент выздоравливает. Однако часто проведение такой операции невозможно из-за многочисленности и специфической локализации карциноидов. Сложность операции возрастает и в том случае, когда опухоль метастазирует в печень. С помощью лекарств можно только уменьшить недомогания пациента.

Самолечение ни в коем случае недопустимо и может только усугубить ситуацию.

Ведущие симптомы болезни: покраснение и расширение кровеносных сосудов лица, понос, астма, изменения сердечных клапанов. Характерным симптомом карциноидных опухолей является покраснение кожных покровов: кожа лица, шеи и верхней части туловища внезапно краснеет, особенно неприятны приливы жара и ощущение жжения. До проявления этих симптомов у пациента наблюдается понос. Если нарушения пищеварения регулярно повторяются, то необходимо обратиться к врачу.

При подозрении на карциноид врач проведет анализ суточной мочи пациента. Обычно в суточном количестве мочи содержится 2-8 мг метаболита серотонина - 5-гидрооксииндолуксусной кислоты. Если в сутки с мочой выделяется более 20 мг кислоты, это значит, что у пациента карциноидная опухоль. На ранней стадии болезни содержание серотонина в моче не увеличивается или увеличивается незначительно. Карциноиды небольшие, склонны рассеиваться по всему организму, поэтому их довольно сложно обнаружить. Их трудно увидеть даже на рентгеновских снимках. Врач проведет немало диагностических исследований, например, рентгенологическое исследование пищеварительной системы с использованием контрастного вещества, компьютерной томографии, рентгенографии грудной клетки и др.

Течение болезни

В начале болезни появляются поносы, которые сменяются запорами. Во время непродолжительных приступов у многих пациентов отмечаются боли в животе, понос, приступы удушья. Со временем приступы учащаются, становятся более продолжительными. На лице, руках, груди и шее возникают так называемые телангиоэктазии — мелкие, расширенные поверхностные кровеносные сосуды, вокруг которых кожа нередко приобретает синюшный оттенок. В этом случае показана операция. Иногда применяется радиотерапия и химиотерапия.

У многих больных наблюдаются аллергические реакции. Вследствие уменьшения содержания глюкозы в крови возникают приступы голода. Отмечается учащение дыхания и сердцебиения, приступы удушья и мигрени, резкое снижение массы тела. На поздней стадии болезни поражается сердце. Смерть наступает в результате сердечной недостаточности или обшсго истощения.

При стойких нарушениях пищеварения (например, запорах, поносах) необходимо обратиться к врачу. Эти нарушения могут быть симптомами как неопасных, так и очень опасных заболеваний (например, карциноида).

Чаще всего карциноиды обнаруживают у пожилых людей, хотя они могут наблюдаться и у молодых. Карциноиды характеризуются медленным ростом и поздним метастазированием. Поэтому, несмотря на наличие онкологического заболевания, продолжительность жизни больного довольно велика.

Дополнительно статьи на данную тему:

Липома и фиброма

Меланома

Все материалы на сайте размещены для справки. Перед началом лечения проконсультируйтесь с врачом.
Безрамное остекление в Абхазии;табак для трубки моряк якорь;kessler запчасти;нитки 210 лш заказать;уход за захоронениями и благоустройство