Гингивит

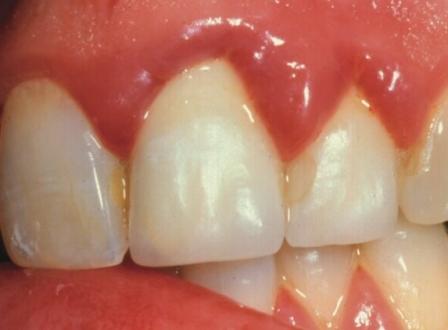
Гингивит - это воспалительное заболевание десен вследствие неправильного ухода за полостью рта. Десны (лат. gingiva) - это часть слизистой оболочки рта, покрывающая альвеолярные отростки челюстей и плотно окружающая шейки зубов. Десны могут воспалиться по разным причинам. При гингивите наблюдается отечность, покраснение, кровоточивость, «разрастание» десен, из них начинает выделяться жидкость, иногда они покрываются язвочками.

Симптомы

  • Отек десен.
  • Покраснение, кровоточивость, утолщение десен.
  • Боль при чистке зубов и приеме пищи.
  • Выделение жидкости.
  • Возможно повышение температуры.

При неосложненном воспалении покраснение, отек и кровоточивость десен выражены незначительно. Кстати, в этом случае болезненность отмечается довольно редко. Если в течение длительного времени налет не удаляется, то через несколько дней воспаление может даже перейти в хроническую форму.

В случае хронического гингивита десны имеют синевато-красный цвет, немного кровоточат, а иногда и «разрастаются». Возможно образование десневых карманов (они возникают вследствие ослабления ткани опорного аппарата зуба). Воспаление с эрозиями приводит к дегенерации десен. В этом случае язвочки могут образоваться и на щеках. У пациента отмечаются сильные боли, а зачастую и повышение температуры тела.

Воспаление десны

Причины воспаления десен

Основная причина - антигигиеническое содержание полости рта. Неправильный уход за зубами и полостью рта способствует образованию зубной бляшки - колоний микроорганизмов, обитающих на поверхности зубов и оказывающих неблагоприятное действие на десны. Прочие возможные причины воспаления - отложение зубного камня, неправильно наложенные зубные пломбы, нарушения гормонального обмена, возрастные особенности. Однако гингивит может возникнуть и в результате какого-либо заболевания, связанного с ослаблением иммунитета человека, например, сахарного диабета или лейкоза. Причиной гингивита может быть дефицит витаминов, прием гормональных контрацептивных пилюль и аллергические реакции.

Воспаление с язвенными проявлениями чаще всего развивается из-за инфекции, но иногда оно может быть симптомом отравления ртутью или висмутом либо возникнуть в результате приема каких-либо лекарств («разрастание» десен происходит при лечении эпилепсии фенитоином).

Лечение гингивита

Выбор метода лечения зависит от причины, вызвавшей воспаление десен. Стоматолог тщательно осмотрит всю ротовую полость, зубы и десны. При необходимости удалит с них налет.

Большое значение имеет ежедневная гигиена полости рта, а также посещение стоматолога с целью устранения налета с зубов и десен!

Если покраснение, кровоточивость десен не проходит в течение нескольких дней, несмотря на регулярную чистку зубов, необходимо обратиться к стоматологу. Особенно если десны болезненны, «разрастаются» и «наплывают» на зубы.

В первую очередь врач попытается выяснить причины, вызвавшие воспаление, поинтересуется, как и регулярно ли пациент чистит зубы, возможно, даст советы по правильному уходу за ними. Стоматолог удалит с зубов налет и зубной камень, назначит специальные болеутоляющие лекарства для полосканий рта. Однако иногда возникает необходимость в более интенсивном лечении. В этом случае осуществляется выравнивание корней, шлифовка зубов, замена поврежденных пломб, коррекция зубных протезов, покрывающих десны. При наличии язвочек больному рекомендуется соблюдение постельного режима и прием антибиотиков. Иногда при ярко выраженных патологических изменениях десневой ткани показано хирургическое вмешательство. Если гингивит возникает как результат какого-нибудь другого заболевания, то в этом случае стоматолог прибегает к помощи специалиста данной области.

Профилактика

Очень важен правильный и регулярный уход за зубами. После каждого приема пищи с помощью зубной щетки и зубной нити (для очистки межзубных промежутков) необходимо чистить зубы. Массируйте десны вращательными движениями. Прополощите рот подсоленной водой или специальной жидкостью, предназначенной для полосканий ротовой полости. Каждые 4-6 месяцев с целью профилактики и удаления зубного камня обращайтесь к стоматологу.

Дополнительно статьи на данную тему:

Пародонтоз

Кариес

Все материалы на сайте размещены для справки. Перед началом лечения проконсультируйтесь с врачом.