Лечение и профилактика флюороза

Флюороз – это хроническое заболевание, вызванное длительным попаданием в организм фтора в высоких концентрациях. По сути, это отравление фтором, обычно через питьевую воду, воздух или на производстве. Название заболевания происходит от латинского слова «fluorom» – фтор, который накапливается в организме постепенно и однажды избыток его в организме дает о себе знать поражением зубов и костей.

Существует 2 вида флюороза – эндемический и профессиональный.

Эндемический флюороз – встречается на некоторых территориях, где в питьевой воде содержится повышенное количество фтора и фтористых соединений. Население этих территорий постоянно употребляет такую воду и попадает в зону риска. Если содержание фтора в 1 литре питьевой воды превышает 1,5 мг, то это уже опасная концентрация для детей, у которых зубы и кости только формируются и только начинают развиваться. Для взрослых критическая концентрация составляет 6 мг/л, превышение этого показателя чревато различными патологиями зубов и костей скелета. Если содержание фтора составляет 6-10 мг/л, то может развиться остеосклероз и остеопороз.

Очевидно, следует отдельно указать географию распространения эндемического флюороза. Это – отдельные районы Московской, Тверской, Рязанской, Тамбовской, Ленинградской областей, а также ряд крупных областных центров России.

Заболевание одинаково поражает как мужчин, так и женщин, но особенно страдают дети, поскольку их иммунная система еще не до конца окрепла.

Профессиональный флюороз – связан с профессиональной деятельностью, обычно встречается у людей, работающих на производстве, на котором содержание фтора в воздухе превышает норму. Это, прежде всего, предприятия алюминиевой промышленности.

Челюсть человека

Первые упоминания о данном заболевании встречаются в далеком 1890 году. Тогда болезнь называли пятнистой эмалью, а его причины были неизвестны. В 1931 году была установлена связь между развитием флюороза и высоким содержанием фтора в воздухе и питьевой воде, после чего болезнь и получила современное название.

Симптомы

  • Поражение коренных зубов. Молочные практически не страдают.
  • Хрупкость эмали, зубная эмаль становится шероховатой, стирается при чистке зубов.
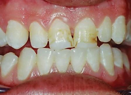
  • Белые, бурые пятна на зубах, эрозии.
  • Высокое содержание фтора в моче.
  • Флюороз костей: боль в костях и суставах, уменьшение подвижности суставов, мышечная слабость.
  • В тяжелых случаях – поражение печени и внутренних органов, большие трудности при передвижении, остеосклероз в ребрах, позвонках, тазовых костях, остеосаркомы.

Причины

Как известно, фтор – это важнейший микроэлемент для организма, придающий прочность костной ткани и зубам. В организм он поступает с питьевой водой, пищей, при вдыхании воздуха, при этом основное количество – с водой. Оптимальная концентрация фтора в питьевой воде – 1 мг/л, если она меньше, то может развиться дефицит фтора, что приводит к кариесу. А вот когда концентрация больше 1,5 мг/л, тогда возникает его избыток в организме – развивается флюороз.

Итак, причиной флюороза является хроническое употребление питьевой воды с высоким содержанием фтора. Другая возможная причина – отравление фтором на производстве.

Принято различать 5 форм флюороза:

  • Штриховая – светлые полоски на зубной эмали, поражаются центральные зубы, клыки и боковые резцы.
  • Пятнистая – белые пятна на зубах, более выраженные в центре, чем по краям, поверхность пятен гладкая.
  • Меловидно-крапчатая – поражаются все зубы, эмаль теряет блеск, появляются желтые и коричневые пятна.
  • Эрозивная – зубная эмаль стирается, возникают эрозии, в первую очередь страдает жевательная поверхность зубов.
  • Деструктивная – полное разрушение коронок, стирание твердых тканей. Развивается при содержании фтора в питьевой воде более 10 мг/л.

Штриховая и пятнистая формы относятся к легкой степени тяжести заболевания, меловидно-крапчатая – средней тяжести, эрозивная и деструктивная – тяжелой степени флюороза.

Диагностика

При появлении пятен на зубах следует обратиться к стоматологу. Распознавание данного заболевания не составляет особого труда. Дифференциальную диагностику проводят с кариесом, однако при кариесе поражения имеют типичную локализацию и не имеют массового характера, а при флюорозе поражения множественные, а пятна занимают иногда практически всю поверхность зубов.

Рекомендуется сдать питьевую воду на анализ по определению содержания в этой воде фтора.

Лечение

В первую очередь необходимо поменять источник питьевой воды на другой, вода в котором проверена анализами на концентрацию фтора, где результат в пределах нормы. Это необходимо для предупреждения развития более тяжелой формы флюороза вплоть до поражения костей. Еще одна первоначальная мера – проверить зубную пасту: если она содержит фтор, то лучше использовать другую.

Параллельно можно начинать лечение уже проявившихся поражений зубов. Удалять пораженные участки и ставить пломбу нет смысла, поскольку зуб будет и дальше разрушаться. Лечение флюороза зависит от степени тяжести заболевания.

При легкой степени тяжести заболевания назначают прием препаратов фосфора и кальция, проводят светодиодное, химическое или лазерное отбеливание зубов с последующей реминерализирующей терапией – насыщением твердых тканей зубов соединениями фосфора и кальция при помощи электрофореза или ультрафонофореза. Такая терапия включает в себя 15-20 сеансов.

Для лечения флюороза средней тяжести (меловидно-крапчатой и эрозивной форм) производится реставрация пораженных зубов с помощью композитных материалов или ортопедических конструкций (виниры, люминиры).

При деструктивной форме заболевания лечение производится у зубного ортопеда с установкой коронки из керамики или металлокерамики.

В процессе лечения необходимо насытить свой рацион овощами и фруктами, молочными продуктами, принимать комплекс витаминов, вместе с этим следует ограничить потребление морской рыбы, шпината и сливочного масла. Также рекомендуется санаторно-курортное лечение.

Если диагностировать заболевание на ранних стадиях, то прогноз в целом благоприятный, поскольку зубная эмаль еще не стерлась. Если не начать своевременное лечение, то поражения зубов будут только увеличиваться: вслед за разрушением зубной эмали будут разрушаться твердые ткани зубов.

Профилактика

  • В регионах с повышенной концентрацией фтора в питьевой воде следует употреблять очищенную или бутиллированную воду. Проведите анализ своей питьевой воды на содержание в ней фтора.
  • Правильное питание: побольше овощей и фруктов, молока и молочных продуктов, ограничить потребление рыбы, шпината. Увеличение в рационе пищи, богатой витаминами C и D, снижает риск возникновения флюороза.
  • Правильный выбор зубной пасты – лучше отказаться от зубной пасты с содержанием фтора.
  • При необходимости искусственного вскармливания для новорожденных используйте только проверенную воду!
  • При введении прикорма ребенку целесообразно максимально заменять воду молоком и соками.
  • Ежегодный вывоз ребенка летом из эндемического района на курорт или к родственникам.
  • Прохождение регулярных профилактических осмотров полости рта у стоматолога.
  • Ежегодный курс приема витаминов или препаратов кальция (по назначению врача).

Дополнительно статьи на данную тему:

Пульпит

Как снять зубную опухоль

Все материалы на сайте размещены для справки. Перед началом лечения проконсультируйтесь с врачом.