ГлавнаяДиагностика заболеваний человека

Рентген легких

Рентгенологические исследования легких - это исследования, во время которых легкие пациента обследуются с помощью рентгеновского аппарата, при необходимости делаются снимки. Использование рентгеновского излучения позволяет точно оценить состояние легких и диагностировать заболевание. В дальнейшем, в зависимости от результатов рентгенологических исследований, могут быть проведены дополнительные исследования.

Как проводятся рентгенологические исследования?

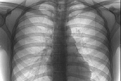
Рентгенограмма

Обычно делаются две рентгенограммы легких. При выполнении так называемой передней рентгенограммы грудной клетки пациент спиной прилегает к источнику рентгеновских лучей, а за его грудной клеткой помещают кассету с рентгеновской пленкой, которая подвергается воздействию рентгеновских лучей. Пациент разводит руки в стороны. Второй снимок - боковой. При его выполнении пациент поворачивается боком к источнику излучения. Руку, находящуюся рядом с рентгеновской пленкой, он поднимает вверх, а другую - помещает за спину. Если одни ткани перекрывают другие, и дать точную оценку невозможно, то тогда делают так называемый поперечный снимок. Пациент поворачивается к источнику лучей на 45 градусов. Если врач хочет точно оценить верхушки легких, то для выполнения снимка пациент должен наклониться к источнику рентгеновских лучей, выгнув при этом туловище. При выполнении снимка, пока легкие подвергаются воздействию лучей, пациент должен сделать глубокий вдох и задержать дыхание (на 1 секунду). Во время выдоха легкие исследуются рентгеновскими лучами только при подозрении на определенные легочные заболевания.

Рентгеноскопия

Это специфическая форма рентгенологических исследований. В этом случае, используя рентгеновские лучи, получают не снимок легких, а их изображение на экране. Однако после проведения исследования не остается никакого документа, характеризующего состояние легких больного, поэтому все зависит от квалификации и внимательности рентгенолога.

В связи с тем, что бронхи и легочные альвеолы обычно наполнены воздухом, то легкие на рентгенограмме хорошо видны. Иногда изменения можно увидеть невооруженным глазом. Для получения более точных результатов используются специальные рентгеноконтрастные вещества.

Бронхография

Для получения рентгеновского снимка более мелких ветвей бронхов (т.е. для проведения бронхографии) пациенту через трахею в бронхи с помощью катетера вводят рентгеноконтрастное вещество, в состав которого входит йод, только после этого делается рентгеновский снимок. Сегодня бронхографию проводят сравнительно редко, так как разветвления бронхов можно рассмотреть с помощью другого метода исследования, который называется бронхоскопия.

Ангиография

В этом случае контраст вводят в главную легочную артерию или в крупные вены. Затем выполняется рентгенограмма, цель которой - точная диагностика нарушений кровообращения и выявление закупорки кровеносных сосудов.

Флюорография

Основная задача флюорографии легких - своевременное выявление туберкулеза и онкологических поражений легочной ткани. С целью профилактики туберкулеза флюорографию рекомендуется проходить ежегодно.

Что показывает рентгенограмма?

На рентгеновском снимке можно четко увидеть ателектаз легкого, его доли или сегмента. Причиной ателектаза может быть опухоль, инородное тело или неполное расправление сети сосудов легкого. Кроме того, исследования позволяют проанализировать потемнения, которые характерны и для других заболеваний легких, таких, как воспаление легких, туберкулез, грибковые заболевания, опухоли, эдема и др. Анализ снимка предоставляет опытному врачу очень много информации о возможной причине потемнения.

При выполнении рентгеновских снимков легких маленькие дети находятся в лежачем положении. Врач, оценивая рентгенограмму должен учесть измененные пропорции и тот факт, что когда человек лежит на спине, кровообращение легких изменяется.

Другие статьи по теме:

Артроскопия суставов

Болезни легких

Все материалы на сайте размещены для справки. Перед началом лечения проконсультируйтесь с врачом.