Стоматит

В полости рта обитает множество бактерий, большинство из них полезны. Клетки слизистой оболочки полости рта живут недолго, но быстро обновляются. При нарушении процесса обновления клеток и неспособности слюны обеспечить самостоятельную очистку ротовой полости начинается воспаление слизистой оболочки - стоматит.

Симптомы

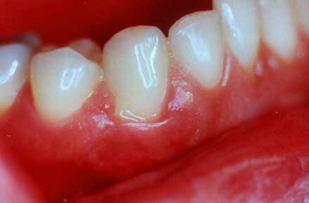
  • Покраснение десен.
  • Боль при приеме пищи.
  • Ощущение жжения.
  • Пузыри, язвочки во рту.
  • Налет на деснах, зубах, нёбе.
  • Затрудненное глотание.

Десна

Причины заболевания

Причиной обычного воспаления слизистой полости рта могут являться механические или химические факторы - так называемый контактный стоматит. Возможен и аллергический стоматит, вызванный чрезмерной реакцией слизистой оболочки на инородные тела. Воспаление слизистой оболочки может являться симптомом бактериальной инфекции - туберкулеза легких, сифилиса, гонореи. Пузырчатый стоматит возникает при вирусном заболевании, СПИДе и грибковых болезнях. Воспаление может начаться при недостатке витаминов.

Аллергический характер воспаления является следствием аллергии на лекарства. Кровотечения из слизистой оболочки полости рта и языка, ощущение жжения, наличие язв - все это зачастую является реакцией на некоторые антибиотики. При наличии аллергенов в зубных протезах, а также в веществах, предназначенных для их чистки, встречается и контактная аллергия. У маленьких детей возвратное малое афтозное высыпание (возвратный малый афтозный стоматит) вызывают вирусы пузырчатки. Основной симптом - белые очаги воспаления, окруженные красным ободком.

Грибковые инфекции ротовой полости обычно возникают у людей с тяжелым заболеванием. При этом дрожжевые грибки начинают быстро разрастаться и распространяться, образуя желтовато-беловатый налет. Дрожжевые грибки могут поразить легкие и пищевод. У новорожденных часто возникает дрожжевой стоматит. При вторичной стадии сифилиса на слизистой оболочке появляются сыпь и мокнущие язвы. Тяжелейшим воспалением полости рта является так называемая нома (влажная гангрена) - отмирание и последующее разложение ткани вследствие бактериальной инфекции. Афтозный стоматит и ному вызывает один и тот же возбудитель, однако афтозный стоматит не так опасен. При гиповитаминозе или авитаминозе могут возникать различные типы заболевания: пеллагра (недостаток никотиновой кислоты и витаминов группы В), скорбут и дефицит фолиевой кислоты.

Причиной обычного воспаления могут являться различные вещества - медь, серебро, цинк, кальций, ртуть и другие. Специалисты по характеру воспаления могут определить вещество, вызвавшее воспаление.

Лечение

Воспаление лечат с помощью антибиотиков и противовоспалительных лекарств. При обычном воспалении слизистой оболочки полости рта рекомендуется полоскание отваром шалфея и ромашки.

Если в течение трех дней симптомы воспаления не пройдут, то необходимо обратиться к врачу.

Врач, тщательно осмотрев ротовую полость и оценив изменение слизистой оболочки, определит основную болезнь (возможную причину стоматита) и назначит пациенту необходимое лечение.

Опасность стоматита зависит от основного заболевания, явившегося его причиной.

При аллергическом стоматите необходимо определить аллерген и сознательно избегать с ним контакта. Избежать появления стоматита можно при тщательном соблюдении гигиены полости рта. Поэтому родителям необходимо контролировать регулярность и правильность чистки зубов у детей.

Пародонтоз

Кариес

Все материалы на сайте размещены для справки. Перед началом лечения проконсультируйтесь с врачом.